Cirugía mínimamente invasiva de juanetes en Hondarribia: caso real y recuperación
La cirugía de juanetes ha evolucionado mucho en los últimos años. Hoy en día, gracias a la técnica de cirugía mínimamente invasiva, es posible corregir el problema con una recuperación mucho más rápida y menos limitaciones para el paciente.
En Maiza Oin Klinika, tratamos cada caso de forma personalizada. A continuación, te mostramos un caso real de una paciente de 54 años que acudió a consulta por dolor y dificultad con el calzado.
Caso real: juanete con limitación en el día a día
Paciente mujer de 54 años que presentaba:
Dolor en la zona del juanete
Dificultad para calzarse con normalidad
Limitación en su vida diaria
Este tipo de casos son muy habituales, especialmente cuando el juanete empieza a afectar no solo a la estética, sino también a la funcionalidad del pie.
Tratamiento: cirugía mínimamente invasiva de juanetes
Se realizó una cirugía de juanetes mínimamente invasiva, una técnica avanzada que permite:
Corregir la deformidad con incisiones muy pequeñas
Reducir el daño en tejidos
Disminuir el dolor postoperatorio
Acelerar la recuperación
Este tipo de cirugía es una de las mejores opciones actualmente para pacientes que quieren solucionar el problema sin largas recuperaciones.
Recuperación: rápida y sin ingreso
Una de las grandes ventajas de esta técnica es el postoperatorio.
En este caso:
La paciente salió caminando por su propio pie
A la hora y media de la intervención ya podía marcharse de la clínica
Utilizó un zapato postquirúrgico especial
Hizo vida normal (sin deporte) desde el inicio
En solo 4 semanas, la paciente ya podía volver a calzarse con normalidad.
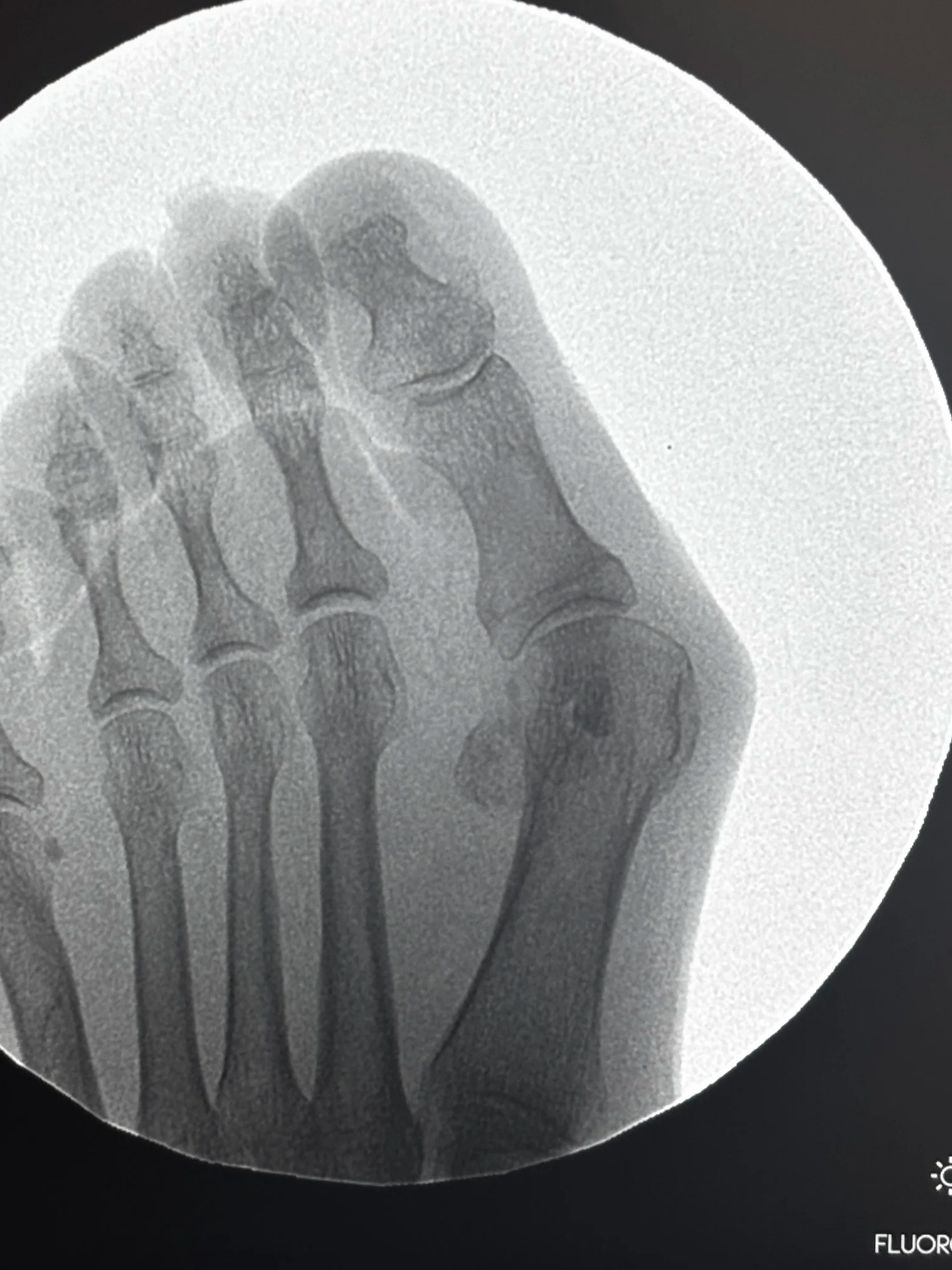
Resultado: antes y después
En estas fotos podemos observar el antes en 1ª y 2ª foto, el día de la intervención 3ª foto, y en el cambio de vendaje de 3ª semana tras intervención.
El resultado muestra no solo una mejora estética, sino también funcional:
Desaparición del dolor
Mejora en la pisada
Recuperación de la comodidad al caminar
¿Cuándo es recomendable operarse un juanete?
La cirugía de juanetes está indicada cuando:
Hay dolor persistente
Dificulta el uso de calzado
Limita la actividad diaria
Otros tratamientos no han funcionado
Cada caso debe valorarse de forma individual para elegir la mejor técnica.
Cirugía de juanetes en Hondarribia y Gipuzkoa
En Maiza Oin Klinika, realizamos tratamientos avanzados de cirugía mínimamente invasiva de juanetes en Hondarribia, atendiendo también a pacientes de toda la zona de Gipuzkoa, especialmente de:
Hondarribia
Irun
Donostia-San Sebastián
¿Tienes juanetes y quieres una solución definitiva?
Si sufres dolor o limitación por un juanete, podemos ayudarte a valorar tu caso y ofrecerte la mejor solución.
La cirugía mínimamente invasiva permite recuperarte antes y con menos molestias.

